首页 菜谱 分类 食材 百科 资讯 运动
当前位置:首页 > 外科 > 心胸外科 > 先天性肺发育不全
先天性肺发育不全

先天性肺发育不全

( xiān tiān xìng fèi fā yù bú quán )
分享到:
收藏(0)
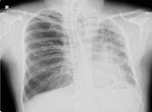
简介先天性肺发育不全,英文名为congenitalagenesisoflung ,别名Congenitalaplasiaoflung 。肺先天性发育不全可根据其发生程度分为3类:肺未发生(agenesis):一侧或双侧肺缺如;肺未发育(aplasia):支气管原基呈一终端盲囊,未见肺血管及肺实质;肺发育不全(hypoplasia):可见支气管、血管和肺泡组织但数量和(或)容积减少。患者可能伴发肺血管及其他畸形病变。
医疗知识

基本知识

  • 是否医保:
  • 易感人群:婴幼儿
  • 患病比例:0.002%
  • 传染方式:无传染性
  • 并发症:多重肺部感染

治疗常识

  • 挂号科室:外科 心胸外科
  • 治疗方式:康复治疗 支持性治疗
  • 治疗周期:7-14天
  • 治愈率:86%
  • 常用药品:维生素E软胶囊

治疗费用:根据不同医院,收费标准不一致,市三甲医院约(5000-10000元)

温馨提示:严重病例出生后即死亡。主要表现为呼吸困难,甚至呼吸窘迫,以及长期反复呼吸道感染,体检可见患侧胸廓塌陷,活动度减弱,叩诊呈浊音,听诊呼吸音减低或消失患者可伴有其他先天性畸形的临床表现。

饮食保健

1、 川贝雪梨猪肺汤

取猪肺120克,洗净切片,放开水中煮5分钟,再用冷水洗净。将川贝母9克洗净打碎;雪梨连皮洗净,去蒂和梨心,梨肉连皮切小块。各物料全部放入沸水锅内,文火煮2小时,调味后随量饮用。

2、 杏仁雪梨山药糊

取杏仁10克,雪梨1个,山药、淮山米粉、白糖适量。先将杏仁用开水浸,去衣,洗净;雪梨去皮,洗净,取肉切粒。然后把杏仁、雪梨粒放搅拌机内,搅拌成泥状。用清水适量,把杏仁泥、梨泥、山药、淮山米粉、白糖调成糊状,倒入沸水锅内(沸水约100毫升),不断搅拌,煮熟即可。随量食用。

先天性肺发育不全宜吃食材
1、宜吃富含维生素的新鲜蔬菜;  2、宜吃解毒泻火的食物;  3、宜吃温补散寒的食物。
先天性肺发育不全忌吃食材
1、忌吃性味寒凉的食物;  2、忌吃辛辣刺激性食物;  3、忌吃油腻味厚的食物。

心胸外科 其他疾病

扫一扫手机查看