首页 菜谱 分类 食材 百科 资讯 运动
当前位置:首页 > 骨科 > 骨科 > 长骨骨干结核
长骨骨干结核

长骨骨干结核

( zhǎng gǔ gǔ gàn jié hé )
分享到:
收藏(0)
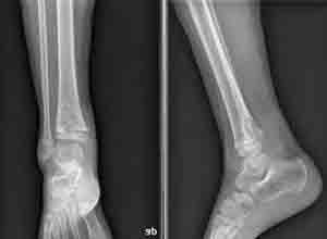
简介长骨骨干结核(tuberculosis of long bone shaft)很少见,其发病顺序为股骨、胫骨、桡尺骨干,肱骨干和腓骨干。10岁以下的儿童最多,且常为多发,30岁以上的则很少见。
医疗知识

基本知识

  • 是否医保:
  • 易感人群:10岁以下的儿童最多
  • 患病比例:0.001%
  • 传染方式:呼吸道传播
  • 并发症:肺结核、 骨结核

治疗常识

  • 挂号科室:外科 骨外科
  • 治疗方式:支持性治疗 康复治疗 手术治疗
  • 治疗周期:12-24个月
  • 治愈率:70%
  • 常用药品:骨刺片、抗骨质增生丸

治疗费用:根据不同医院,收费标准不一致,市三甲医院约(500——2000元)

温馨提示:选择营养价值高的植物或动物蛋白,如牛奶、蛋类、鱼类

饮食保健

长骨骨干结核日常保健

饮食方面要做到规律、合理,即以高蛋白、高维生素食物为主。选择营养价值高的植物或动物蛋白,如牛奶、蛋类、鱼类、瘦肉、各种豆制品等。各种新鲜蔬菜、瓜果富含维生素,营养价值高。

长骨骨干结核宜吃食材
1、宜吃抗癌的食物;   2、宜吃膳食纤维的食物;   3、宜吃增强免疫力的食物。
长骨骨干结核忌吃食材
1、忌吃致癌的食物,如桂皮、霉变的食物;   2、忌吃辛辣刺激的食物,如辣椒、花椒、生姜;   3、忌吃容易产气的食物,如洋葱、红薯、芋头。

骨科 其他疾病

扫一扫手机查看