首页 菜谱 分类 食材 百科 资讯 运动
当前位置:首页 > 其他科室 > 中医综合 > 水疥
水疥

水疥

( shuǐ jiè )
分享到:
收藏(0)
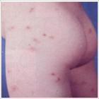
简介水疥是指诸疥中之轻轻者。出《诸病源候论》卷三十五。该书分疥为大疥、马疥、水疥、干疥、湿疥。巢氏谓:“水疥者,如小瘭浆,摘破有水出,此一种小轻。”类似丘疹性荨麻疹,或为湿疥之轻微者。
医疗知识

基本知识

  • 是否医保:
  • 易感人群:多发于儿童及婴幼儿
  • 患病比例:0.0005%
  • 传染方式:没有传染性,大多蚊虫叮咬后发生
  • 并发症:痒疹、 湿疹、 肿胀、 红斑、 荨麻疹、 虱病

治疗常识

  • 挂号科室:中医科 中医综合
  • 治疗方式:药物治疗 支持性治疗
  • 治疗周期:1周-2月不等
  • 治愈率:65%
  • 常用药品:甲硝唑乳膏、夏桑菊颗粒

治疗费用:根据病情轻重、不同医院,收费标准不一致,市三甲医院约(300——3000元)

温馨提示:忌油炸及辛辣刺激食物,辛辣食物如辣椒、洋葱、 生蒜、胡椒粉等。

饮食保健

适当锻炼,增强体质对反复发作患者可以逐渐改善。

皮肤瘙痒患者忌过多食用辛辣鱼腥酒类等,以免皮肤瘙痒加剧。不断搔抓不仅可使皮肤增厚,而且皮质变厚后反过来又加重了皮肤瘙痒,因此会形成愈抓愈痒、愈痒愈抓的恶性循环。

水疥宜吃食材
1.饮食宜清淡,多吃蔬菜和水果; 2.宜多吃清热利湿的食物。
水疥忌吃食材
1、忌食用辛辣刺激性食物;   2、忌食用有兴奋作用的食物;   3、忌食用黏腻食物;   4、忌食用“发物”。

中医综合 其他疾病

扫一扫手机查看