首页 菜谱 分类 食材 百科 资讯 运动
当前位置:首页 > 五官科 > 口腔 > 深覆合
深覆合

深覆合

( shēn fù hé )
分享到:
收藏(0)
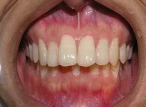
简介深覆合是上下牙弓和(或)上下颌骨垂直向发育异常所致的错合畸形,即前牙区牙及牙槽高度发育相对或绝对过度,或(和)后牙区牙及牙槽高度发育相对或绝对不足。根据深覆合的形成机制,可将其分为牙型深覆合和骨型深覆合。临床上可表现为上前牙牙冠覆盖下前牙牙冠唇面1/3以上;或下前牙切缘咬合于上前牙牙冠舌面1/3以上。该病的症状上中切牙垂直或内倾,两侧切牙唇向倾斜,或上切牙内倾而尖牙唇向,或所有上前牙内倾,前牙覆盖小于3mm,有时可为0~1mm;或上下前牙拥挤,内倾,呈严重闭锁 ,可咬伤上前牙舌侧或下前牙唇侧龈组织,引起急,慢性牙周炎而造成牙槽骨吸收,牙齿松动等。
医疗知识

基本知识

  • 是否医保:
  • 易感人群:无特定人群
  • 患病比例:0.001%
  • 传染方式:无传染性
  • 并发症:面部偏侧萎缩

治疗常识

  • 挂号科室:五官科 口腔科
  • 治疗方式:康复治疗 支持性治疗
  • 治疗周期:7-21天
  • 治愈率:50%

治疗费用:根据不同医院,收费标准不一致,市三甲医院约(8000——15000元)

温馨提示:注意口腔卫生,养成饭后漱口、早晚刷牙的良好口腔卫生习惯,减少重舌破溃后及针刺后染毒。

饮食保健

根据不同的症状,有不同情况的饮食要求,具体询问医生,针对具体的病症制定不同的饮食标准。

深覆合宜吃食材
1.宜吃植物油脂类的食物; 2.宜吃坚果类的食物; 3.宜吃酸性的食物。
深覆合忌吃食材
1.忌吃含糖的食物; 2.忌吃碱性的食物。

口腔 其他疾病

扫一扫手机查看