首页 菜谱 分类 食材 百科 资讯 运动
当前位置:首页 > 五官科 > 口腔 > 嗜酸性腺瘤
嗜酸性腺瘤

嗜酸性腺瘤

( shì suān xìng xiàn liú )
分享到:
收藏(0)
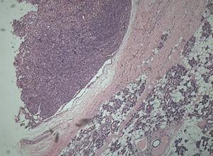
简介嗜酸性腺瘤(oxyphilicadenoma)又称大嗜酸性粒细胞瘤(oncocytom),是一种少见的涎腺良性肿瘤。关于嗜酸性腺瘤的组织发生尚未完全明了,可能来自导管上皮或导管肌上皮细胞。
医疗知识

基本知识

  • 是否医保:
  • 易感人群:无特殊人群
  • 患病比例:0.02%
  • 传染方式:无传染性

治疗常识

  • 挂号科室:五官科 口腔科
  • 治疗方式:手术治疗 药物治疗 支持性治疗
  • 治疗周期:2-4月
  • 治愈率:75%
  • 常用药品:注射用硫酸长春新碱、转移因子注射液

治疗费用:根据不同医院,收费标准不一致,市三甲医院约(4000-6000元)

温馨提示:饮食清淡富于营养,注意膳食平衡。

饮食保健

嗜酸性腺瘤患者饮食宜忌

1)宜多食抗咽部肿瘤的食物:苦菜、蒲笋、豆豉、蚺蛇肉、鲫鱼、针鱼、羊乳。

(2)宜食具有解除咽部异物感的食物:蛇胆、鸡内金、青梅、荸荠、橄榄、杏仁、牛蒡菜。

(3)宜食具有消除淋巴结肿大的食物:田螺、鲫鱼、魔芋、芋头、荞麦、桑椹、苦瓜、蓟菜 、无花果。

(4)宜食具有防护化疗、放疗副作用的食物:茄子、无花果、核桃、绿豆、赤豆、葵花籽、 油菜、柿饼、乌梅、西瓜、黄瓜、芦笋、柠檬、大枣、泥鳅、塘虱、蟹、鸡血、鸭血、鹅 血、鳗鱼、鲨鱼、青鱼、鲎、海蜇、猪脑、羊脑、海参。

(5)忌烟、酒、咖啡、可可。

(6)忌辛辣刺激性食物。

(7)忌霉变、烧焦食物。

(8)忌油腻、油煎、烟熏食物。

(9)忌粗糙、干燥、纤维多、坚固难嚼、难咽食物。

(以上资料仅供参考,详细请咨询医生)

嗜酸性腺瘤宜吃食材
1、宜多吃含碘量高的食物;   2、宜多吃具有消结散肿作用的食物;  3、宜多吃具有增强免疫力的食物。
嗜酸性腺瘤忌吃食材
1、忌辛辣刺激性食物;  2、忌肥腻、油煎食物。

口腔 其他疾病

扫一扫手机查看