首页 菜谱 分类 食材 百科 资讯 运动
当前位置:首页 > 外科 > 神经外科 > 椎管内结核瘤
椎管内结核瘤

椎管内结核瘤

( zhuī guǎn nèi jié hé liú )
分享到:
收藏(0)
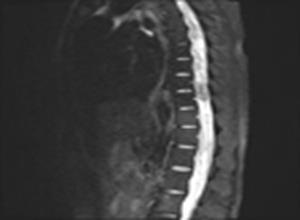
简介椎管内结核瘤系椎管内硬脊膜内或硬脊膜外侵犯脊髓的结核性肉芽肿。
医疗知识

基本知识

  • 是否医保:
  • 易感人群:无特定人群
  • 患病比例:0.005%
  • 传染方式:无传染性
  • 并发症:瘫痪

治疗常识

  • 挂号科室:外科 神经外科
  • 治疗方式:支持性治疗 康复治疗
  • 治疗周期:3-6月
  • 治愈率:70%
  • 常用药品:利福喷丁胶囊、异烟肼片

治疗费用:根据不同医院,收费标准不一致,市三甲医院约(3000 —— 8000元)

温馨提示:积极参加户外锻炼,增强个人体质,定时参加身体体检发现病情及时就诊治疗。

饮食保健

椎管内结核瘤的食疗方:

【苹果蜂蜜饮】

配方:苹果500克,枸杞叶100克,胡萝卜300克,蜂蜜适量。

制法:将上三物洗净,一同放入果汁机内绞取汁液,再加冷开水与蜂蜜适量调味即成。

功效:补肺滋阴,清热止咳。

用法:每日3次,每次30毫升,连服5剂。

椎管内结核瘤宜吃食材
1.宜吃利尿的食物; 2.宜吃寒凉的食物; 3.宜吃维生素C以及硒元素含量丰富的食物。
椎管内结核瘤忌吃食材
1.忌吃热燥性的食物; 2.忌吃过于咸的食物; 3.忌吃滋补性的食物。

神经外科 其他疾病

扫一扫手机查看