首页 菜谱 分类 食材 百科 资讯 运动
当前位置:首页 > 外科 > 心胸外科 > 经膈肌肋间疝
经膈肌肋间疝

经膈肌肋间疝

( jīng gé jī lèi jiān shàn )
分享到:
收藏(0)
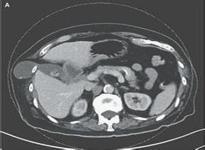
简介经膈肌肋间疝(transdiaphragmatic intercostal hernia)是腹内脏器经膈肌由胸壁“薄弱区”膨出而形成的疝,Manrer和Blades(1946) 首次报道本病,准确、详细的描述了4例病人, Croce和Mehta(1979)以“肋间胸膜腹膜疝”的名称报道该病。Cole等(1986)命名该病为经膈肌肋间疝。
医疗知识

基本知识

  • 是否医保:
  • 易感人群:无特殊人群
  • 患病比例:0.001%
  • 传染方式:无传染性
  • 并发症:不完全性肠梗阻

治疗常识

  • 挂号科室:外科 心胸外科
  • 治疗方式:手术治疗 支持性治疗
  • 治疗周期:10-15天
  • 治愈率:70%

治疗费用:根据不同医院,收费标准不一致,市三甲医院约(3000 —— 8000元)

温馨提示:保持情绪稳定,避免情绪激动和紧张。

饮食保健

日常保健

1、忌咖啡、可可等兴奋性饮料。

2、忌辛辣刺激性食物。

3、忌霉变、油煎、肥腻食物。  

4、忌烟、酒。

经膈肌肋间疝宜吃食材
1.宜吃低糖的食物; 2.宜吃低脂肪的素食; 3.宜吃高纤维素的食物以及发酵型的食物。
经膈肌肋间疝忌吃食材
1.忌吃含糖高的食物; 2.忌吃蛋白质含量高的食物; 3.宜吃生硬的食物。

心胸外科 其他疾病

扫一扫手机查看