首页 菜谱 分类 食材 百科 资讯 运动
当前位置:首页 > 皮肤科 > 皮肤科 > 杜波组织胞浆菌病
杜波组织胞浆菌病

杜波组织胞浆菌病

( dù bō zǔ zhī bāo jiāng jun1 bìng )
分享到:
收藏(0)
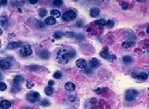
简介杜波组织胞浆菌病(Histoplasmosis duboisii)是由荚膜组织胞浆菌杜波变种引起的原发于皮肤,皮下组织及骨组织的肉芽肿性及化脓性损害,很少侵犯肺。
医疗知识

基本知识

  • 是否医保:
  • 易感人群:无特殊人群
  • 患病比例:0.0001%
  • 传染方式:无传染性
  • 并发症:贫血

治疗常识

  • 挂号科室:皮肤性病科 皮肤科
  • 治疗方式:药物治疗 支持性治疗
  • 治疗周期:2--8周
  • 治愈率:55%
  • 常用药品:乳酸左氧氟沙星片、阿奇霉素片

治疗费用:根据不同医院,收费标准不一致,市三甲医院约(5000——10000元)

温馨提示:多以清淡食物为主,注意饮食规律。

饮食保健

1、多以清淡食物为主,注意饮食规律。

2、根据医生的建议合理饮食。

3、该疾病对饮食并没有太大的禁忌,合理饮食即可。

杜波组织胞浆菌病宜吃食材
1.宜吃具有消炎作用的食物; 2.宜吃具有增加机体抵抗力作用的食物。
杜波组织胞浆菌病忌吃食材
1.忌吃辛辣刺激性的食物; 2.忌吃霉变的不容易消化的食物; 3.忌吃含有亚硝酸盐的食物。

皮肤科 其他疾病

扫一扫手机查看